
近日,十大买球官方网站朱媛副教授研究团队联合兰州大学第一医院放射科王莉莉博士展开生物医学信息学合作研究,在生物医学和健康信息学国际顶级期刊 IEEE Journal of Biomedical and Health Informatics(简称IEEE JBHI)上在线发表了关于肝癌微血管侵袭预测的理论研究成果,题为: “Preoperative Prediction of Microvascular Invasion in Hepatocellular Carcinoma From Multi-Sequence Magnetic Resonance Imaging Based on Deep Fusion Representation Learning”。十大买球官方网站2021级本科生马海书、朱媛副教授及兰州大学第一医院放射科王莉莉博士为该文的共同第一作者,朱媛副教授为通讯作者,十大买球官方网站为唯一通讯单位。

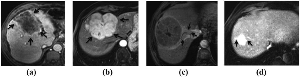
原发性肝癌是主要的全球健康威胁之一,在最常见和最致命的恶性肿瘤中排名第六。肝癌早期症状一般较为隐匿,不易被察觉,大约70%的肝癌病例只有在中期或晚期才能够被诊断出来。尽管外科和内科治疗都有一定效果,但肝癌患者的5年生存率仍低于30%。虽然肝切除术是早期肝癌的关键治疗方法,但是术后肿瘤复发率仍然较高。微血管侵犯(MVI)是微血管中存在的癌性血栓(如图1所示),肉眼无法检测到,但在显微镜下可识别。MVI可独立预测肝癌切除术后早期复发及预后不良,准确的术前MVI评估对于指导肝癌患者的治疗决策和提高生存率至关重要。

图1: MVI发生时器官产生的不同表现:(a)肿瘤包膜的外观、(b)肿瘤边缘、(c)瘤周异常增强和(d)外周动脉增强。
朱媛副教授团队利用深度学习技术和统计建模方法,提出了一种融合多模态核磁共振影像特征的肝癌MVI分类方法(图2),该方法通过深度融合算法进行图像信息的特征提取、融合、训练和分类,从而在图像水平和患者水平上提高了对肝脏肿瘤MVI的诊断准确性和效率。更值得一提的是,该方法在不完整ROI区域数据(PROI)和完整ROI数据(CROI)上均进行了评测,在不完整数据集上的优异的预测结果说明在没有专业医生勾勒ROI区域的情况下,此方法依然可以得到有指导意义的预测结果。此工作在肝脏肿瘤MVI诊断中的潜在应用价值,为肝脏肿瘤术前诊断提供了新的思路,为医生制定治疗方案提供了有价值的指导。

图2:提出的MVI预测算法的流程图:(a) 数据预处理 (b) 数据获取 (c) MVI预测
IEEE JBHI是计算机科学和信息系统领域的领衔期刊之一,主要聚焦于交叉学科和生物医学与健康应用。该期刊论文必须包含信息系统的理论分析、方法、技术发展和/或新的临床应用方面的原创内容,是生物医学和健康信息学领域的TOP期刊,是国际上公认的生物医学和健康信息学领域的TOP学术期刊,全球65种数学与计算生物学(Mathematical & Computational Biology)SCI收录期刊中排名第5(TOP5);是中国科学院计算机信息系统和数学与计算生物学领域小类一区期刊。本项研究工作得到了国家自然科学基金面上项目(12371506)和浙江省自然科学基金项目(LQ23A010010)资助。
论文及链接:
Haishu Ma, Yuan Zhu and et al., "Preoperative Prediction of Microvascular Invasion in Hepatocellular Carcinoma from Multi-sequence Magnetic Resonance Imaging based on Deep Fusion Representation Learning," in IEEE Journal of Biomedical and Health Informatics, doi: 10.1109/JBHI.2024.3451331. https://ieeexplore.ieee.org/document/10654526